Completed Cases


Veneer

Restored with 8 all-ceramic (no metal) emax veneers with minimal preparation of top front 8 teeth. No need for temporary veneers due to minimal preparation of root structure (start to finish - 2 weeks.)

BEFORE

jeff2.jpg

After

jeff1.png

Veneer

Restored with 8 all-ceramic (no metal) emax veneers with minimal preparation of top front 8 teeth. No need for temporary veneers due to minimal preparation of root structure (start to finish - 2 weeks.)

BEFORE

X0495039.JPG

AFTER

X0495040.JPG

Crown

Restored with an all ceramic (emax lithium dysilicate) aesthetic crown (within 1 week.)

Before

After


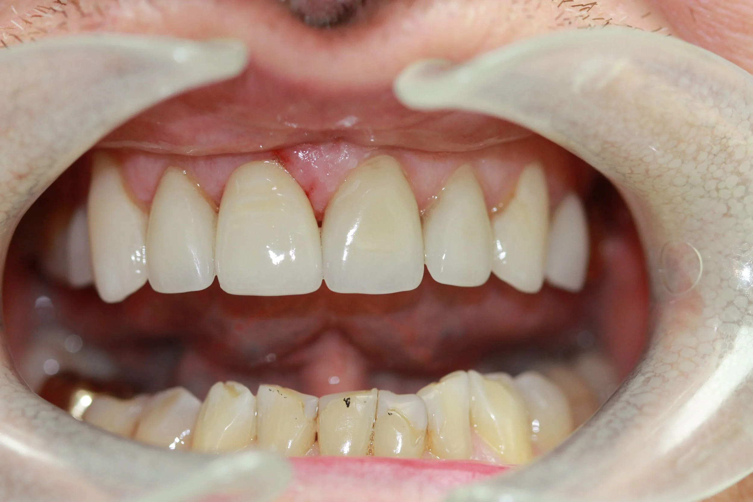
Veneer

Restored with 8 all-ceramic (no metal) emax veneers with minimal preparation of top front 8 teeth. No need for temporary veneers due to minimal preparation of root structure (start to finish - 2 weeks.)

Before

After


Veneer

Before & After — Restored with 8 all-ceramic (no metal) emax veneers with minimal preparation of top front 8 teeth. No need for temporary veneers due to minimal preparation of root structure (start to finish - 2 weeks.)

Before

AFTER


Veneer

Restored with 8 all-ceramic (no metal) emax veneers with minimal preparation of top front 8 teeth. No need for temporary veneers due to minimal preparation of root structure (start to finish - 2 weeks.)

BEFORE

AFTER


Implant
Dentistry

Root Canal, Post and Core Buildup

Cavity, Prep and Restoration